PATRYS ORD

Patrys releases positive data from deoxymabs study to treat ANCA vasculitis
Patrys (ASX: PAB) has released positive data from pre-clinical studies using deoxymabs PAT-DX1 and PAT-DX3 in animal models of the autoimmune disease anti-neutrophil cytoplasmic antibody (ANCA) vasculitis. The therapeutic antibody development company has previously reported non-clinical results that showed the deoxymabs can suppress the formation of neutrophil extracellular traps (NETs), which are structures comprised of […]


Patrys granted Australian patent for Deoxymab platform with nanoparticles to deliver anti-cancer drugs
Therapeutic antibody development company Patrys (ASX: PAB) has been granted an Australian patent covering the use of its novel Deoxymab platform conjugated to nanoparticles (NP) for the targeted delivery of anti-cancer drugs. The patent is the first of its kind for the local market and covers the use of Deoxymab antibodies PAT-DX1 and PAT-DX3 with […]


Patrys’ lead drug candidate can cross blood brain barrier to target triple-negative breast cancers
A pre-clinical animal study by Australian therapeutic antibody company Patrys (ASX: PAB) has shown the development drug PAT-DX1-NP is able to cross the blood brain barrier and successfully target triple-negative breast cancer brain metastases. The Yale School of Medicine study found that PAT-DX1-NP administered by tail vein injection in a mouse model of triple-negative breast […]


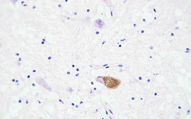
Animal data shows potential for Patrys’ PAT-DX1 drug to help radiation fight aggressive brain tumours
Therapeutic antibody developer Patrys (ASX: PAB) has revealed new pre-clinical animal data that points to the potential for its lead candidate drug PAT-DX1 to improve survival rates for patients with highly aggressive forms of brain tumours. The company today released results from a newly completed study at the Yale School of Medicine, which involved using […]